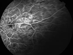
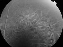
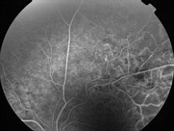
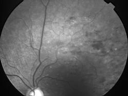
OCCLUSION DE BRANCHE DE LA VTS DE FORME ISCHEMIQUE MAJEURE
IM000001.JPG
IM000001.JPG
IM000004.jpg
IM000004.jpg
IM000005.jpg
IM000005.jpg
IM000006.jpg
IM000006.jpg
IM000007.jpg
IM000007.jpg
IM000008.jpg
IM000008.jpg
IM000009.jpg
IM000009.jpg
IM000010.jpg
IM000010.jpg
IM000011.jpg
IM000011.jpg
IM000012.jpg
IM000012.jpg
IM000013.jpg
IM000013.jpg
IM000014.jpg
IM000014.jpg
IM000015.jpg
IM000015.jpg
IM000016.jpg
IM000016.jpg
IM000017.jpg
IM000017.jpg
IM000018.jpg
IM000018.jpg

Page:   1  2 
[ Prev ]      [ Next ]