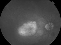
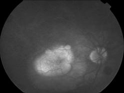
DMLA associant un DSNE et une plage de NVO
IM000023.jpg
IM000023.jpg
IM000024.jpg
IM000024.jpg
IM000025.jpg
IM000025.jpg
IM000027.jpg
IM000027.jpg
IM000028.jpg
IM000028.jpg

Page:   1  2 
[ Prev ]      [ Next ]