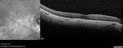
OCT 000 OCT 001 OCT 002 OCT 003
OCT 004 OCT 005 OCT 006 OCT 007
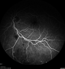
FA 000 FA 001 FA 002 FA 003
FA 004 FA 005 FA 006 FA 007
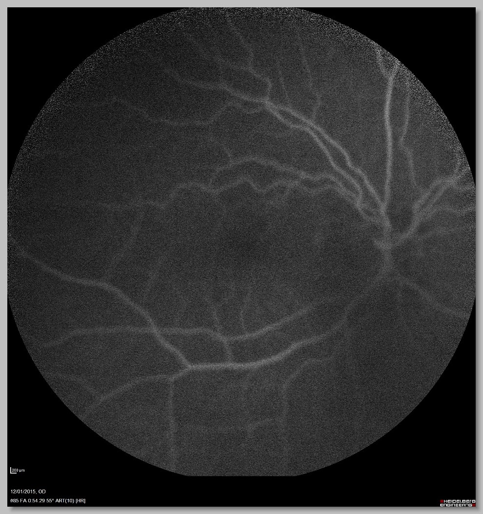
FA 008 FA 009 FA 010 FA 011
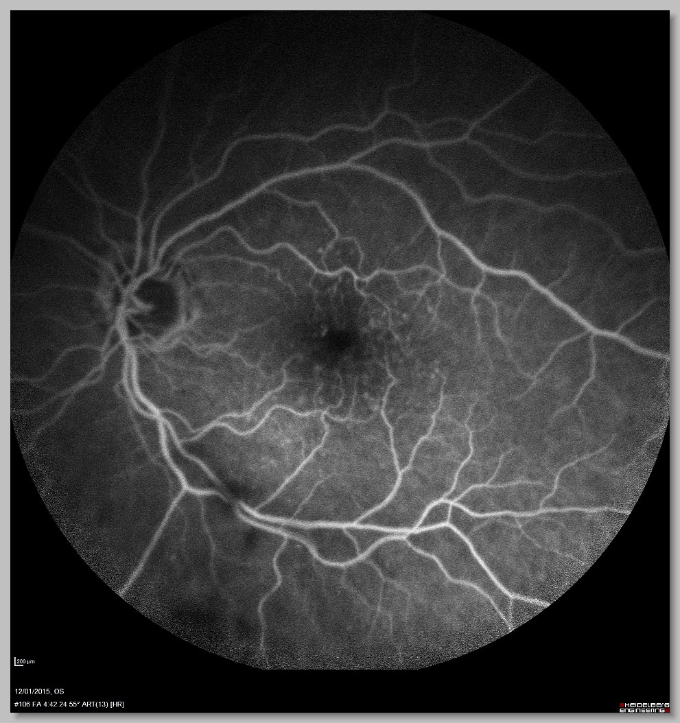
FA 012 FA 013
Generated by jAlbum 11.6.4, Matrix 11.3